De ce te doare capul dacă nu-ți bei cafeaua? Motivul pentru care creierul tău...
Lipsa cafelei de dimineață poate declanșa o durere de cap de o intensitate surprinzătoare. Deși cofeina este adesea aliatul nostru pentru un start energic...
Creșterea nivelului mării a fost anticipată corect în anii ’90. Și nu este deloc...
Oamenii de știință au confirmat un adevăr incomod: previziunile privind creșterea nivelului mării, făcute în anii '90, s-au dovedit a fi șocant de exacte....
„Secretul stă în vibrații”. Cum transformă o tehnologie simplă nisipul din mare în aur...
O nouă tehnologie bazată pe ultrasunete, dezvoltată în Coreea de Sud, promite să transforme nisipul marin într-o resursă sigură și viabilă pentru construcții, rezolvând...
Motivul ascuns pentru care toate marile civilizații se prăbușesc, dezvăluit de un academician de...
În liniștea buncărului său de lux din Noua Zeelandă, co-fondatorul PayPal, Peter Thiel, nu se gândește la următorul unicorn tech. Se gândește la sfârșit....
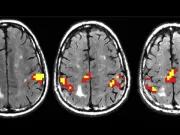
O parte surprinzătoare a creierului tău devine mai puternică pe măsură ce îmbătrânești
Contrar așteptărilor, nu toate părțile creierului degenerează odată cu vârsta. O nouă cercetare arată că, în timp ce unele regiuni se subțiază, anumite straturi...
Avertismentul său a fost ars de rege. De ce nimeni nu l-a ascultat pe...
Ieremia a activat ca prooroc într-un moment de răscruce pentru istoria regatului Iuda, prevestind căderea Ierusalimului și exilul babilonian care a urmat. Cunoscut drept...
O navă-fantomă din Al Doilea Război Mondial, găsită la aproape 7.000 de metri adâncime....
Exploratorii au descoperit epava USS Samuel B Roberts, poreclită „Sammy B”, la o adâncime uluitoare de 6.895 de metri sub Marea Filipinelor, stabilind un...
Atingea cerul, dar a ajuns o simplă groapă cu apă. Ce s-a întâmplat cu...
În inima aglomeratei metropole a Babilonului de odinioară, o structură colosală se înălța sfidând cerul. Descris de istoricul grec Herodot drept o minune a...
S-a întâmplat. Antarctica a depășit un punct fără întoarcere, iar efectele vor dura generații
Considerată mult timp o fortăreață de gheață, izolată și neschimbată, Antarctica dă semne alarmante de transformare. De la gheața marină care dispare la curenți...















