Secțiunea Curiozități de pe Descoperiri.ro te invită într-o călătorie fascinantă prin mistere nerezolvate, fenomene inexplicabile, invenții ingenioase, tradiții unice și lucruri fascinante despre oameni şi lumea în care trăim. Pregătește-te să fii surprins, încântat și intrigat de o serie de curiozități care îţi vor pune la încercare cunoștințele și te vor face să priveşti lumea cu alți ochi.
Etichetă: Curiozități
Fluierul aztec al morţii sună ca „o mie de suflete torturate, care ţipă odată”
Dacă cel mai rău coșmar pe care l-aţi avut vreodată e un sunet, atunci „fluierul aztec al morţii” s-ar putea încadra în această categorie.
Aztecii...
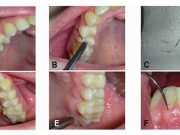
Caz medical extrem de rar: Unei femei i-a crescut păr în gingie
Din când în când se poate întâmpla să apară câte un fir de păr acolo unde nu te aștepți. Dar să-ți crească păr în...
Tristan da Cunha, cel mai îndepărtat loc de pe Pământ, aflat la mii de...
Când vecinii tăi cei mai apropiaţi se află la circa 3.000 de km distanţă, poţi spune că trăieşti într-un loc destul de izolat. Cel...
Cum ar arăta Pământul dacă ar dispărea mările şi oceanele
Cea mai mare parte a planetei Pământ este acoperită de ape. Dar cum ar arăta Terra dacă ar dispărea mările şi oceanele?
O simulare a...
Cât cântăreşte sufletul. În 1907 un doctor a cântărit sufletul uman
În anul 1907 doctorul Duncan McDougal a făcut un experiment macabru, însă interesant deopotrivă, încercând să afle cât cântăreşte sufletul uman.
Aceasta a cântărit trupurile...
Vinul roşu, secretul sănătăţii astronauţilor în spaţiu
Secretul sănătăţii astronauţilor plecaţi în misiuni pentru perioade îndelungate, contrar aşteptărilor, nu îl reprezintă exerciţiile fizice.
Este vorba despre vinul roşu.
Da, această băutură alcoolică, pe...
Demodex folliculorum – Paraziţii care trăiesc pe feţele noastre
Demodex folliculorum este o specie parazită de acarieni, care trăiesc pe feţele noastre.
Atunci când o geană ni se desprinde de la ochi, unii dintre...
De ce au început albinele să producă miere albastră
Apicultorii din nord-estul Franţei s-au trezit într-o situaţie încurcată, după ce albinele din stupii lor au început să producă miere albastră şi verde.
Mierea colorată...
Prinţesa Qajar, femeia cu mustaţă care a fost considerată o mare frumuseţe
Născută în anul 1855, ca una dintre cele 10 fiice ale regelui Persiei, Naser al-Din Shah Qajar, prințesa Fatimah Khanum ”Esmat od-Dowleh” a rămas...
Comuna nemuririi din Gavdos, populată de savanţi de la Cernobîl
Insula grecească Gavdos găzduieşte "Comuna nemuririi", un loc populat de oameni de ştiinţă care au lucrat la centrala nucleară de la Cernobîl şi au...
















