Secțiunea Sănătate reunește articole despre corpul uman, prevenție, boli, nutriție, minte și obiceiurile care influențează starea noastră de bine. Aici găsești subiecte explicate clar despre sănătatea fizică și mentală, cercetări medicale și informații utile pentru o viață mai echilibrată.
Etichetă: Sănătate
O singură înțepătură de țânțar îți poate afecta sistemul imunitar pentru a deschide calea...
De parcă înțepătura iritantă a unui țânțar nu ar fi fost suficient de supărătoare, o nouă cercetare sugerează că saliva țânțarilor are un impact...
Consumul de alge marine poate ajuta la prevenirea bolii Parkinson, conform unui studiu
Consumul de alge marine Ecklonia cava ar putea încetini sau preveni boala Parkinson, conform unui studiu recent din 2024.
O echipă de cercetători a descoperit...
Iată cât de des ar trebui să vă spălați lenjeria de pat, conform științei
Când vă pregătiți să vă culcați noaptea, probabil că ultimul lucru la care vă gândiți este ce ar putea fi ascuns în colțurile și...
Nasul poate dezvălui probleme de sănătate serioase, dificil de identificat
Datorită unui fenomen cunoscut sub numele de atenție selectivă inconștientă, creierul tău a învățat să îți ignore nasul. Însă nasul poate dezvălui probleme de...
Mecanismul cerebral care controlează frica a fost descoperit la șoareci, spun oamenii de știință
Momentul în care simţi că te controlează frica poate deveni copleșitor. Teama declanșează o cascadă de modificări chimice care se autoîntăresc în corpul nostru,...
Nu este doar un mit: gânditul poate fi dureros, arată un studiu
Deși acest lucru este adesea spus în glumă, un studiu dezvăluie că gânditul poate fi dureros. O nouă analiză a cercetărilor anterioare susține ceea...
În realitate, Alzheimer ar putea să nu fie o boală a creierului, dezvăluie un...
Căutarea unui leac pentru boala Alzheimer devine tot mai competitivă și mai controversată, în contextul unor dispute majore apărute în ultimii ani, cea mai...
Îmbătrânirea accelerează dramatic la vârstele de 44 și 60 de ani
Un studiu de mici dimensiuni sugerează că îmbătrânirea accelerează dramatic la persoanele cu vârste cuprinse între 40 și 60 de ani, acestea suferind modificări...
Bananele sunt pe cale de dispariție, dar oamenii de știință au un plan
Bananele sunt pe cale de dispariție din cauza unei ciuperci capabile să infecteze peste 100 de plante diferite.
Celebrele bananele care îți decorează castronul cu...
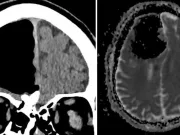
Acestui bărbat i-a „dispărut o bucată de creier” dintr-un motiv foarte ciudat
Atunci când un bărbat de 84 de ani din Irlanda s-a prezentat la medic cu plângeri de instabilitate, echipa medicală a descoperit un motiv...
















