În analele literaturii medicale, există câteva cazuri care par desprinse direct dintr-un episod din The Twilight Zone, inclusiv situații aparent inexplicabile în care o simplă halucinație ascunde, de fapt, o tumoare pe creier. Un astfel de caz a avut loc în 1984, când o femeie care, în rest, se bucura de o sănătate perfectă, a început brusc să audă voci. În mod firesc, această experiență terifiantă i-a trezit temeri profunde cu privire la propria sănătate mintală, așa că a făcut ceea ce ar face orice persoană rațională: a apelat la ajutorul unui specialist în psihiatrie.

Acel specialist era medicul psihiatru consultant Ikechukwu Obialo Azuonye, cel care a și publicat ulterior povestea de-a dreptul incredibilă a ceea ce a urmat, într-un număr din anul 1997 al prestigioasei reviste medicale BMJ (British Medical Journal).
Primele mesaje transmise de aceste voci erau ciudat de specifice și de politicoase. „Te rog, nu-ți fie teamă”, i-au spus ele. „Știu că trebuie să fie șocant pentru tine să mă auzi vorbindu-ți astfel, dar acesta este cel mai simplu mod la care m-am putut gândi. Eu și prietenul meu lucram la Spitalul de Copii din Great Ormond Street și am dori să te ajutăm.”
Un leac temporar și un diagnostic surpriză
Inițial, cazul părea să urmeze un tipar clinic standard. Femeii i s-a pus un diagnostic inițial de psihoză halucinatorie funcțională. I s-a oferit consiliere de specialitate și i s-a prescris tioridazină – un medicament antipsihotic utilizat, printre alte afecțiuni, în tratamentul schizofreniei. Tratamentul a funcționat: vocile au dispărut, iar pacienta, liniștită, a putut pleca în vacanță.
Ușurarea a fost, totuși, de scurtă durată. În timp ce se afla în străinătate, vocile au revenit în forță. Acestea i-au spus să se întoarcă imediat în Anglia pentru a putea primi tratament pentru ceva ce nu era în regulă cu ea din punct de vedere fizic. Mai mult, vocile i-au dat și o adresă precisă.
La acel moment, pacienta începuse deja să creadă ce îi spuneau, motivul fiind unul tulburător: vocile avuseseră dreptate în privința unor detalii intime din viața ei din trecut. Pentru a o liniști, soțul pacientei a dus-o cu mașina direct la adresa respectivă. Destinația? Secția de tomografie computerizată (CT) a unui mare spital din Londra.
„Aveți două probleme”
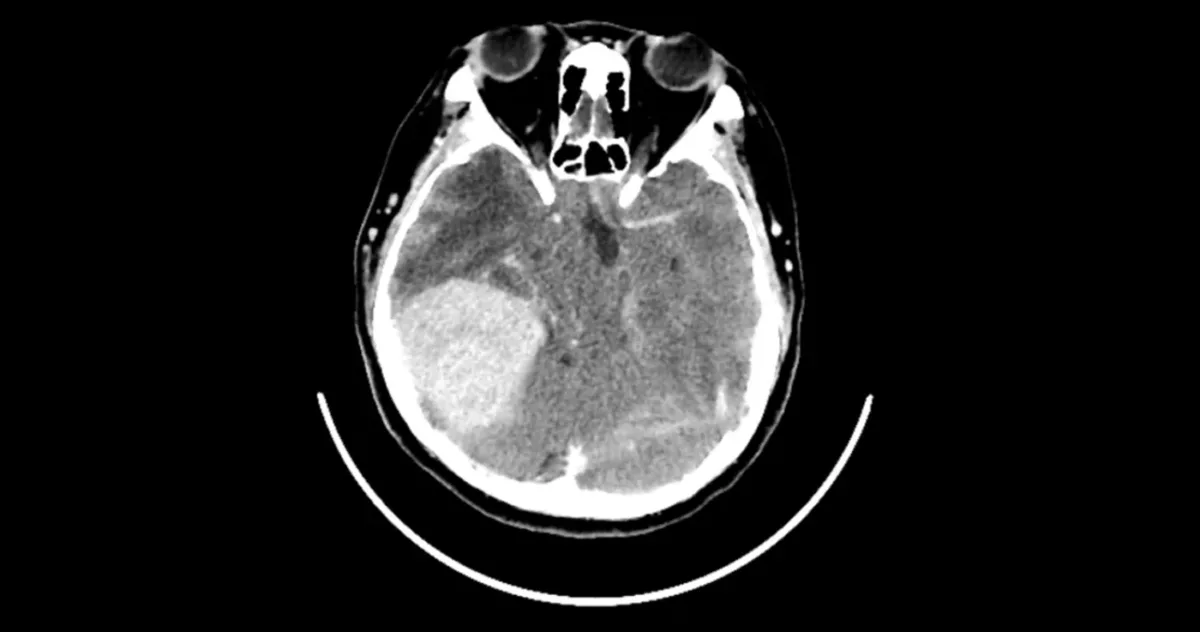
Vocile i-au transmis clar că ar trebui să intre înăuntru, deoarece avea două probleme medicale distincte: o tumoare pe creier și o inflamație a trunchiului cerebral. Pacienta era extrem de îngrijorată, așa că dr. Azuonye a solicitat o tomografie cerebrală strict pentru a o liniști.
După o oarecare rezistență din partea spitalului (având în vedere lipsa simptomelor fizice), cererea a fost acceptată. Scanarea a scos la iveală ceva uluitor: o masă compatibilă cu un meningiom de dimensiuni mari, adică o tumoare pe creier. În ciuda lipsei aparente a simptomelor clasice, precum dureri de cap severe sau tulburări de vedere, echipa medicală a sugerat că intervenția chirurgicală era cea mai bună soluție, iar formațiunea a fost îndepărtată cu succes.
Imediat după operație, când pacienta s-a trezit, a auzit un singur, și ultim, mesaj de la voci: „Ne bucurăm că te-am ajutat. La revedere.”
Cum explică știința acest fenomen?
Dr. Azuonye notează că a fost determinat să publice acest studiu de caz abia după ce a primit un telefon de la pacientă, care l-a sunat pentru a-i ura Crăciun fericit la nu mai puțin de 12 ani după operația ei. În lucrarea sa, medicul reflectă asupra circumstanțelor absolut unice care au înconjurat cazul:
„Este bine cunoscut faptul că leziunile intracraniene pot fi asociate cu simptomatologie psihiatrică. Dar acesta este primul și singurul caz pe care l-am întâlnit în care vocile halucinatorii au căutat să o asigure pe pacientă de interesul lor sincer pentru bunăstarea ei, i-au oferit un diagnostic specific (nu existau semne clinice care să fi alertat pe cineva cu privire la tumoră), au îndrumat-o către tipul de spital cel mai bine echipat pentru a face față problemei ei, și-au exprimat bucuria că a primit în sfârșit tratamentul pe care și-l doreau pentru ea, și-au luat rămas bun și, după aceea, au dispărut.”
Deși ar putea suna ca un scenariu supranatural, știința ne oferă o explicație mult mai plauzibilă. Există posibilitatea ca pacienta să fi fost conștientă, la nivel subconștient, de prezența unei tumori pe creier. Având o asemenea dimensiune, formațiunea ar fi trebuit să provoace cel puțin un anumit disconfort fizic de bază, pe care mintea ei conștientă l-a ignorat. Astfel, vocile ar fi putut fi pur și simplu o manifestare halucinatorie a propriilor ei îngrijorări reprimate – un mecanism de supraviețuire extrem al creierului. Odată ce neobișnuita tumoare pe creier a fost îndepărtată, sursa îngrijorării a dispărut, iar vocile „și-au luat rămas bun”.
Este o poveste înfiorătoare și, totodată, un memento emoționant că, uneori, viața este cu adevărat mai ciudată decât ficțiunea. De fapt, literatura medicală este plină de afecțiuni neurologice ciudate care au inspirat science-fiction-ul – nu trebuie decât să ne uităm la celebrul caz al femeii care, din cauza unei afecțiuni neurologice rare, vedea dragoni în loc de fețe. Creierul uman rămâne, fără îndoială, cel mai mare mister al științei.












